

。。
。。。。
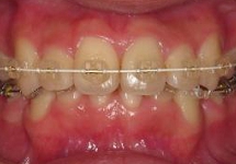
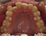
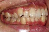
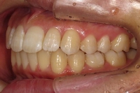
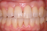
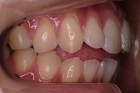
☆審美ワイヤー(光拡散型)の使用例と
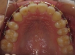
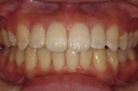
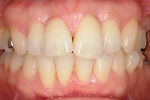
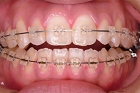
ホワイトワイヤー(コーティング)での治療例
初期費用(保険外診療です:税込)
・大人の矯正⇒¥583,000~
・子供の矯正⇒¥324,500(※第1期治療時)
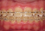
当院のワイヤー矯正は,歯の移動抵抗が少なく
歯周組織への負担が少ないライトフォースな
矯正ワイヤーと審美クリアブラケットを使用して,
矯正中の快適さに配慮した治療を行っています.
矯正担当医の経歴/資格:
・北海道大学歯学部卒
・歯学博士(北大)
・日本矯正歯科学会認定医
・日本顎咬合学会かみ合わせ認定医
形態分析
..
セファログラム骨格系・歯系分析
体重心バランス測定
.
あごズレの有無を推察できます
<グラビコーダー>
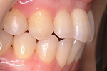
審美ホワイトワイヤー
..
.
光拡散ロジウムコートtypeワイヤー
..
.
ゴールドシリーズ審美ワイヤー
.
.
ホワイトコーティングtypeワイヤー
咬合力バランス測定(オクルーザー)
.
咬合力の大きさ・バランスを判定
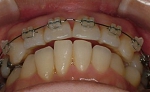
低摩擦クリア矯正装置

設定した治療ゴールにすばやく到達するためには,歯を低摩擦(ローフリクション)で移動させることが重要です.当院では「ローフリクションtypeのブラケットシステム」を採用しています.
歯科矯正用アンカースクリュー
.
.
.
.
固定源の強化のために使用する小型のインプラントで,純チタンのミニスクリューです.
直径1.5mm程度のセルフタッピングスクリューを必要に応じて設置しています.粘膜切開の必要はありません.
これらの機器装置を活用して,
バランスが良く,歪みの少ない
口腔・顔貌の獲得を矯正の目標にしています.
.
矯正治療の施術例↓
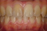
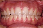
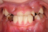
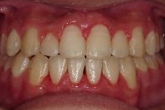
CASE1
前歯の歯並びが悪いのが一番気になります。
右側では良く噛めません↓(16歳/女性)
|
|
|
|
|
|
|
||||||||
概要・担当医コメント:叢生・右側咀嚼障害↑
マルチブラケット装置/動的治療期間26ヶ月(23回)
/費用概算:60万円
高校の部活も矯正も両方頑張れたそうです。
上顎右側の小臼歯を1本のみ抜歯させていただき,あとは上下の歯列アーチ形態の修正にて矯正できました。
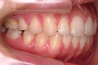
CASE2
↓前歯の歯並びを きれいに治したい。
(35歳/女性)
|
|
|
|
|
|
|||||||||
概要・担当医コメント:叢生・審美障害↑
動的治療期間13ヶ月(12回)/非抜歯/費用概算:55万円
上は固定式のブラケット矯正で,下は患者様ご自身が着脱するマウスピース矯正の治療を行いました.治療結果には大変満足されているそうです.
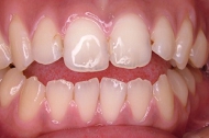
CASE3
前歯1本だけが出ています、矯正で治りますか?
(23歳/女性)↓
|
|
|
|
||||||||
概要・担当医コメント:
前歯の唇側傾斜/マルチブラケット装置/非抜歯
動的治療期間15ヶ月(15回)/費用概算:60万円.
歯列アーチの形態修正に必要なスペースを微量のエナメル質の研磨により創生し,当初の計画通りに歯を移動させました.
CASE4
前歯で物が噛み切れない。 顔が曲がって見える。
右のアゴが たまに痛い。
(19歳/女性)↓
|
|
|
|
|
|
|
||||||||
概要・担当医コメント:
開咬/下顎の左右的偏位/顎関節症/非抜歯
動的治療期間28ヶ月(28回)/費用概算:65万円
顎関節症の改善を主目的として治療を開始しました.歯科矯正用アンカースクリューを使用することにより,上下とも非抜歯で治療出来ました.大臼歯の上下的位置を調整することで,顎関節に負担のかかり過ぎない噛み合わせにしました.
CASE5
小学1年の頃から前歯の噛み合せが逆でした。
同級生が通っていたので来ました。
(11歳/男性)↓
|
|
|
|
||||||||
概要・担当医コメント:反対咬合・前歯部咀嚼障害↑
/マルチブラケット装置/非抜歯/動的治療期間24ヶ月(25回)/費用概算:60万円
治療前は虫歯のコントロールが難しい状態でしたが,矯正治療を開始してからは歯磨きを丁寧にしてくれるようになり,甘味摂取習慣の改善も行って頂いた効果があり,その後の虫歯の発生は無く現在に至っています.
↓矯正料金のご案内(税込) 保険外自由診療です
【子供の矯正】
・第1期治療⇒初期費用¥324,500
(内訳:初回検査料+診断料+装置料+装着料)
・第2期治療移行時の装置料⇒¥286,000
(クリアタイプ ブラケット+審美ワイヤー)
※第2期治療は必須です
【大人の矯正】
初期費用⇒¥583,000
内訳:初回検査料+診断料+装置料+装置準備料+装着料
(クリアタイプ ブラケット+審美ワイヤー)
【大人の部分矯正】
初期費用⇒
例1)少数歯の場合:¥77,000
例2)上下6前歯の場合:¥330,000(診断料含)
〔内訳:初回検査料+装置料+診断料(上下顎施術等の必要時)〕
※上記料金に含まれないもの↓
・調整料(¥6,000/月1回),
・保定装置料(¥55,000/上下で),
・保定観察料(¥4,400/回),
・定期検査料(¥11,000/年1回),
・歯科矯正用アンカースクリュー(¥11,000 /本),
・矯正治療に必要な抜歯費用
※「マウスピース矯正」の料金も上記(大人の全体
矯正)に準じていますが、適応症がございます。
矯正担当医にご相談下さい。
※上記料金は,消費税・システムの改定により変更
する場合がございます。
<矯正歯科治療に伴う一般的なリスクについて>
(日本矯正歯科学会HPより引用改変)
① 最初は装置による不快感、痛み等がありますが、数日間~1,2 週間で慣れることが多いです。
② 歯の動き方には個人差があります。そのため、予想された治療期間が延長する可能性があります。
③ 装置の使用状況、顎間ゴムの使用状況、定期的な通院等、矯正治療には患者さんの協力が非常に重要であり、それらが治療結果・期間に影響します。
④ 治療中は、装置が付いているため歯が磨きにくくなります。むし歯や歯周病のリスクが高まりますので丁寧に磨いたり、定期的なメンテナンスを受けて下さい。また、歯が動くと隠れていた虫歯が現れることもあります。
⑤ 歯を動かすことにより歯根吸収して短くなることがあります。また、歯茎がやせて下がることがあります.
⑥ ごくまれに歯が骨と癒着していて歯が動かないことがあります。
⑦ 歯を動かすことで神経が障害を受けて壊死することが、ごくまれにあります。
⑧ 治療途中に金属等のアレルギー症状が出ることがあります。
⑨ 治療中に顎関節で音が鳴る、あごが痛い、口が開けにくいなどの顎関節症状がまれに出ることがあります。
⑩ 様々な問題により、予定した治療計画を変更することがあります。
⑪ 歯の形を修正したり、咬み合わせの微調整を行ったりする可能性があります。
⑫ 矯正装置を誤飲する可能性があります。
⑬ 装置を外す時に、エナメル質に微小な亀裂が入る可能性や、かぶせ物の一部が破損する可能性もあります。
⑭ 装置が外れた後、保定装置を指示通り使用しないと後戻りが生じる可能性があります。
⑮ 装置が外れた後、現在の咬み合わせに合った状態のかぶせ物や虫歯の治療を行うこともあります。
⑯ 顎の成長発育により噛み合わせが変化することがあります.
⑰ 治療後に親知らずが生えて、凸凹が生じる可能性があります。加齢や歯周病等により歯を支えている骨がやせりると噛み合わせや歯並びが変化することがあります。それにより再治療が必要になる場合があります.
![]()
保険外診療¥30,000以上のお支払いには,
クレジットカードがご利用になれます.






















