

.
..
☆レーザー検査・治療の利点
患者様の全員が等しく望まれるのは,
痛くない歯科治療だと思います.
レーザーによる歯周治療は,多くの場合に麻酔の注射を必要としませんから,歯周ポケット深部の歯石除去の時などの麻酔の注射を敬遠なさる方には適しています.
歯科用レーザー治療には,
①処置時の痛みが極めて少ない
②外科的処置と比較して治りが早い
という画期的な特徴があります.
[臨床応用例]
●虫歯や破折の検出(Diagnodent)
●歯周ポケット内の歯面状態の測定(Diagnodent)
●歯周病(歯周炎/歯肉炎)の炎症軽減
●根管治療への応用
●審美領域
・メラニン色素除去/ホワイトニング
●疼痛緩和
・矯正治療中の疼痛緩和/顎関節の疼痛緩和
●硬組織への応用
・象牙質知覚過敏処置/虫歯の予防
●止血
<光学式歯面測定:Diagnodent>
。
◆優しいレーザー光で.虫歯や破折,歯周ポケット内部の歯面の診査ができます.
これまでに無かったカリエス(虫歯)の進行状況を数値で診査・診断するシステムです.
「Diagnodent:ダイアグノデント」は歯面にそっと沿わせるだけで655nmの低出力レーザーにてカリエスの有無や状態を測定できます.
診査時の痛みも無く,お子様や妊婦の方でも安心して検査を受けられます.
また,経過を追うことで,治療の適切な時期を判断できます.
<レーザー照射による歯周病の治療>
.
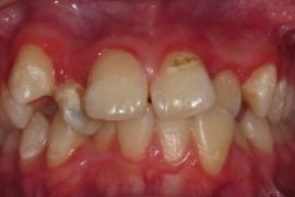
①↑歯肉炎・歯周炎の状態です.
診査にて「歯肉炎または歯周炎」と診断された場合.歯石等の炎症を誘発する物質を取り除きながら,歯周ポケット内の除石,殺菌のために歯科用パルス発振レーザー照射治療を数回行います.
。
②当院で使用しているYAGレーザー(アストラテック)です.歯周ポケットの底部付近へレーザーのファイバーを無理なく安全に到達させるため,非常に細い径のファイバーを使用しています.これにより従来の装置と比較して治療がかなり容易になりました.
.
③歯の周囲に沿って,ぐるりと一周する要領でレーザーを単発照射していきます.照射そのものは5~10分程度で短時間に終了します.
必要な場合には,麻酔処置も可能です.
このレーザー治療を症状の改善に応じて数回行います(歯石やその他の起炎物質の除去も通法通りに行います).

④術後経過例:徐々に歯周炎の症状が改善してきています.レーザー治療を続けながら,部分矯正(歯冠部が欠け,歯根だけになった部分の牽引矯正)を行っています.
.
・治療療前(写真左):中等度の歯周炎です.
・レーザー治療後(写真右)
:歯周基本治療との併用で炎症改善.
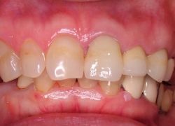
⑤治療後:慢性の歯肉炎症が改善し,全体的に引き締まって健康なピンク色に近づきました.この状態でオールセラミックス製のクラウン冠をかぶせて審美治療を行いました.この冠は,金属を必要としない最新の方法で,従来のように金属の色が透けて歯と歯ぐきのさかい目が黒ずむという心配はありませんので,歯肉もより自然の色に見えます.
[歯周病菌の検査]
当院では「位相差顕微鏡」を使用して「カンジタ菌・紡錘菌・らせん菌・連鎖球菌」などの歯周病の病原菌の検査を行っています.



■歯周病菌とは.
お口の中には,常に細菌がいます.しかし,全てが歯周病菌というわけではありません.
現時点では,約10種類の菌が歯周病菌に認定されていますが,とくにPg菌,Aa菌,Bf菌というの3つの細菌はアメリカ歯周病学会認定の強毒菌です.その中の1つである「Pg菌」は,こっぺパンのような形の菌で,歯周病菌では非常に多いものです.酸素を嫌う性質のため(嫌気性菌)歯周ポケットの奥深くに潜んでいます.
■抗生物質だけでは歯周病が治りにくい理由.
歯周ポケット内の細菌は「バイオフィルム」というバリアーを作って自己防衛しています.
バイオフィルムの最大の特徴は,細菌どうしがグリコカリックスというネバネバした菌体外多糖類で接合し合っているということです.
これにより,細菌は頑丈なバリアーを張り外敵(投薬や人体の感染防御機構)から身を守っているので簡単には治療効果が上がりません.
歯周病は細菌バイオフィルムによる感染症で,類似した疾患には以下のものがあります.
⇒細菌性心内膜炎/尿路感染症/慢性呼吸器感染症/慢性骨髄炎/細菌性前立腺炎.
■歯周ポケットレーザー照射
歯周病の場合,患部ポケットにレーザーを直接・間接的に照射して,バイオフィルムの破壊と歯周病菌の殺菌・患部の消毒を行い治療します.
<おわりに>
歯科用YAGレーザーは,安全で人にやさしい治療を可能にします.本レーザーシステムは,歯科医療に新しい可能性をひろげるもので、レーザーがもっているいくつかの物理学的特性としては,①熱作用,②圧力作用,③光化学作用,④電磁界作用などがあります.
Nd-YAGレーザーの波長(1064nm)は体内の水分や血液に吸収されにくく,組織の内部まで浸透します.
圧力作用により,炭化,壊死層は形成されません.これらの作用を応用し,安全で人に優しい治療が可能です.
当院のレーザー装置(Impulse)は,レーザーをパルス発振し,1パルス波の幅は大変に狭いスパイク状になっており,レーザーそのものは組織表面で600℃~700℃となるエネルギーを発生させますが,熱作用が瞬間的なため熱さや痛みをほとんど感じることなく切開,蒸散,
止血,凝固を行うことができます.